病例简介
女性患者,42岁。
✦主诉:
发现盆腔巨大肿物1月余。
✦现病史:
患者经期延长3月余,尿频、腹胀1月余,1月余前就诊外院,超声可见盆腔囊实性肿物,穿刺活检示平滑肌源性肿物。
✦既往史:
G4P2,顺产1次,剖宫产1次,人工流产2次。
✦妇科检查:
外阴:已婚已产型;阴道:畅,分泌物不多,色透明,质稀薄,粘液性,无异味,阴道后穹隆触诊无异常;宫颈:常大,质地中,表面光滑,无触血,无举痛/摇摆痛;盆腔可触及一巨大肿物,囊实性,上界达脐平面,两侧达腋前线,活动可,无压痛;双附件:触诊不满意。
✦辅助检查:
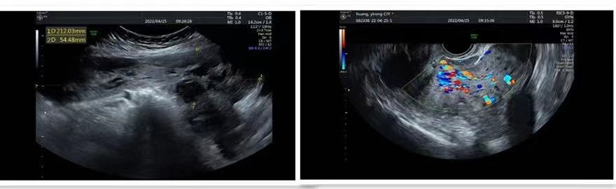
超声:右附件区探及边界清晰囊区,33mm×32mm×27mm,内可见密集点状低回声。盆腹腔内可探及巨大囊实性包块212mm×213mm×54mm,内大部分为形态不规则无回声囊区,实性区为疏松低回声,低回声团与子宫峡部剖宫产瘢痕相连,可探及宽约24mm的蒂自瘢痕处发出,包块蒂部血流丰富,RI:0.54。
盆腔巨大囊实性包块——来源于子宫?
右卵巢囊肿——巧囊?

✦入院诊断:
1.盆腔肿物;
2.右附件肿物;
3.剖宫产史。
✦手术方式:
腹腔镜下全子宫+右附件+左输卵管切除术
✦标本及病例:

专家简介
张岩
北京大学第一医院妇产科,主任医师,硕士生导师。
2013年于美国CLEVELAND CLINIC医学中心访问学习。现担任中华医学会妇科肿瘤分会青年委员、北京医学会妇科肿瘤分会委员,负责国家自然科学基金课题2项(30801223,81272870),并参与了多项教育部重大课题、国家自然科学基金项目研究。2009年“性激素及其受体在妇科恶性肿瘤中的表达及功能的研究”获北京市科学技术奖三等奖(第三完成人)。
责编:liu
